El Blog del Veterinario

Un vistazo profundo a la fase neurológica del distemper canino

Un vistazo profundo a la fase neurológica del distemper canino

El distemper canino, o moquillo, es una enfermedad viral multisistémica que, si bien puede manifestarse con una variedad de síntomas, la afectación del sistema nervioso central (SNC) es quizás la más devastadora y lamentablemente con frecuencia irreversible. Esta fase neurológica representa un desafío significativo tanto para el diagnóstico como para el tratamiento, dejando a menudo secuelas permanentes en los animales que logran sobrevivir.

Patogenia neurológica: la invasión del virus

Una vez que el virus del distemper, un paramixovirus, ha superado las barreras iniciales y se ha replicado en el tejido linfoide, se disemina por el torrente sanguíneo hacia varios órganos, incluido el cerebro y la médula espinal. La neuroinvasión del virus puede ocurrir en diferentes momentos de la infección, a veces semanas o incluso meses después de la exposición inicial, o paralelamente a los síntomas respiratorios o gastrointestinales.

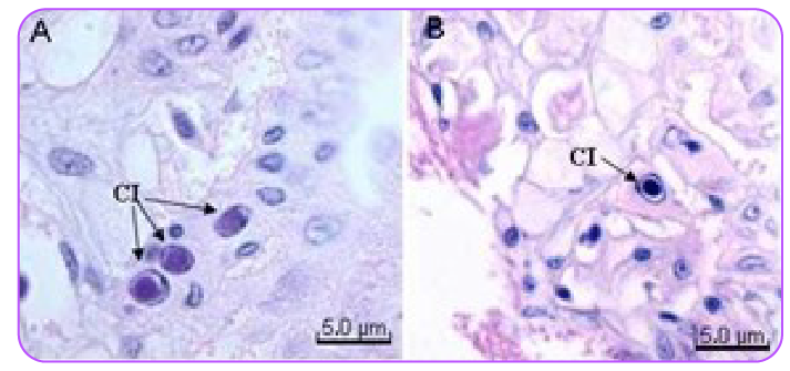
El virus ataca diversas células nerviosas, incluyendo neuronas, astrocitos y crucialmente los oligodendrocitos que son responsables de producir la mielina, la vaina protectora que recubre las fibras nerviosas y permite la transmisión eficiente de los impulsos. La destrucción de la mielina, conocida como desmielinización, interrumpe la comunicación neuronal y es la base de muchos de los signos neurológicos observados. Además, el virus puede causar encefalitis (inflamación del cerebro) y mielitis (inflamación de la médula espinal), llevando a una disfunción generalizada del SNC.

El virus ataca diversas células nerviosas, incluyendo neuronas, astrocitos y crucialmente los oligodendrocitos que son responsables de producir la mielina, la vaina protectora que recubre las fibras nerviosas y permite la transmisión eficiente de los impulsos. La destrucción de la mielina, conocida como desmielinización, interrumpe la comunicación neuronal y es la base de muchos de los signos neurológicos observados. Además, el virus puede causar encefalitis (inflamación del cerebro) y mielitis (inflamación de la médula espinal), llevando a una disfunción generalizada del SNC.

Signos clínicos de la afectación neurológica

Los síntomas neurológicos del distemper son altamente variables y pueden ser progresivos. No todos los perros desarrollan la fase neurológica, pero aquellos que sí lo hacen pueden presentar:

Tics nerviosos o mioclonías: Son contracciones musculares involuntarias y repetitivas que pueden afectar una parte del cuerpo (como un párpado o una pata) o ser más generalizadas. Estos tics son a menudo persistentes y pueden ser uno de los primeros signos neurológicos.

Ataxia: Descoordinación motora que se manifiesta como dificultad para caminar, tropiezos o desequilibrio. El perro puede parecer “borracho”.

Paresia o parálisis: Debilidad o pérdida total de la capacidad de movimiento en una o más extremidades.

Convulsiones: Pueden variar desde episodios de mirada fija o “masticación de moscas” hasta convulsiones tónico-clónicas generalizadas. Estas convulsiones pueden ser recurrentes y difíciles de controlar.

Cambios de comportamiento: Letargo, desorientación, depresión, ceguera aparente, o incluso agresividad.

Nistagmo: Movimientos oculares involuntarios rápidos.

Síndrome vestibular: Inclinación de la cabeza, movimientos circulares, y pérdida del equilibrio debido a la afectación del sistema vestibular (encargado del equilibrio).

Es importante destacar que estos signos pueden aparecer de forma intermitente y progresar con el tiempo. En algunos casos, los perros pueden recuperarse de los síntomas respiratorios o gastrointestinales iniciales solo para desarrollar la fase neurológica semanas o meses después.

Diagnóstico y pronóstico del neurodistemper

Líquido cefalorraquídeo (LCR), la PCR (Reacción en Cadena de la Polimerasa) para detectar el ARN viral en el LCR o muestras de tejido cerebral (post-mortem), y estudios de imagen como la resonancia magnética (RM) para identificar lesiones en el cerebro. Sin embargo, un diagnóstico definitivo en vida puede ser un desafío.

El pronóstico para los perros con distemper en fase neurológica es reservado a malo. Aunque algunos perros pueden sobrevivir con tratamiento de apoyo intensivo, muchos quedan con secuelas neurológicas permanentes que pueden afectar significativamente su calidad de vida. Los tics nerviosos y las convulsiones suelen ser difíciles de controlar y pueden persistir de por vida. La gravedad y la progresión de los signos neurológicos son los principales factores que determinan el pronóstico.

Manejo y prevención

Dado que no existe un tratamiento antiviral específico para el distemper, el manejo de la fase neurológica es principalmente de apoyo y sintomático. Esto puede incluir el uso de anticonvulsivos para controlar las crisis, corticosteroides para reducir la inflamación cerebral (aunque su uso es controvertido en algunos casos), y terapia de soporte general para mantener al animal hidratado y nutrido. La fisioterapia y el manejo de los cuidados para los animales con movilidad reducida también son esenciales.

La prevención es la única medida verdaderamente efectiva contra la neurodistemper. La vacunación

temprana y completa de los cachorros, seguida de los refuerzos regulares, es fundamental para protegerlos de esta devastadora enfermedad. Evitar la exposición de perros no vacunados a ambientes de riesgo también es crucial.

La fase neurológica del distemper canino es una manifestación particularmente grave de la enfermedad, caracterizada por una amplia gama de signos clínicos debilitantes y un pronóstico desfavorable. Aunque el tratamiento se enfoca en el manejo de los síntomas, la única estrategia eficaz para proteger a nuestros compañeros caninos de este desenlace es la prevención a través de la vacunación rigurosa y a tiempo. La educación de los propietarios sobre los riesgos del distemper y la importancia de la inmunización es crucial para salvar vidas y evitar el sufrimiento que esta enfermedad neurológica puede causar.

Bibliografía

– Greene, C. E. (2012). Infectious Diseases of the Dog and Cat (4th ed.). Saunders. (Capítulos específicos sobre la patogénesis y manifestaciones neurológicas del Distemper).

– Dewey, C. W., & da Costa, R. C. (2019). Practical Guide to Canine and Feline Neurology (3rd ed.). Wiley Blackwell. (Información detallada sobre el diagnóstico y manejo de enfermedades neurológicas infecciosas).

– Summers, B. A., Cummings, J. F., & de Lahunta, A. (1995). Veterinary Neuropathology. Mosby. (Texto clásico sobre las bases neuropatológicas de enfermedades como el distemper).